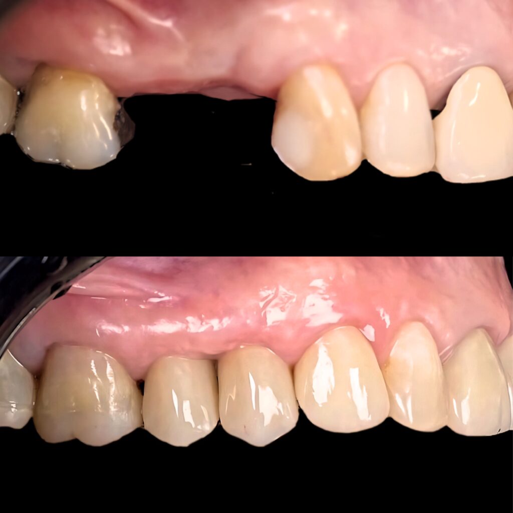
Les presentamos el caso de una paciente quien acudió a Blend Odontología para devolver sus dientes perdidos a través de algún sistema de rehabilitación que no fuera removible.
Luego de realizar una evaluación clínica e imagenológica se propone el plan de tratamiento rehabilitador en base a Prótesis Fija sobre Implantes.
A diferencia de lo que ocurre con las prótesis removibles, las prótesis sobre implantes se integran perfectamente en el hueso, tomando en consideración previamente ciertas condiciones locales y sistémicas de cada paciente. Es muy importante destacar que los materiales utilizados para su fabricación, son completamente biocompatibles. Los implantes dentales pueden utilizarse durante toda la vida siempre que sigas las indicaciones de higiene oral entregadas por tu especialista y acudas a las sesiones de mantención de por vida.



Plan de tratamiento ejecutado:
Zona 1.4 y 1.5
- Exodoncia + preservación alveolar
- Tomografía Axial Computarizada de control
- Instalación de implantes dentales Biohorizons tapered internal 3.8 x 12 mm
- Cirugía de conexión
- Provisionalización
- Instalación de prótesis Fijas Unitarias de Zirconio monolítico Cut- Back Color 3M2 sobre pilares Tibase
- Instrucción de higiene oral
- Controles protésicos cada 4 meses el primer año, luego 1 cada 12 meses.





