Ortodoncia

Agenda tu Diagnóstico

Agenda directamente en nuestra plataforma.

logo dentalink blanco

La ortodoncia es una especialidad odontológica que tiene por objetivo el diagnóstico, pronóstico, tratamiento y prevención de las diversas anomalías dento maxilofaciales que afectan a la población, promoviendo la corrección de alteraciones del desarrollo, trastornos funcionales y estéticos, mediante un enfoque de tratamiento integral.

DR MARCELO MUNOZ web
?

¿Puede un adulto realizarse un tratamiento de ortodoncia?

Sí, la edad no es una contraindicación para realizarse un tratamiento de ortodoncia. Es importante que el paciente no presente procesos infecciosos activos y una óptima condición de los tejidos de soporte, que permita iniciar el tratamiento de ortodoncia.

ortodoncia 1 web scaled
?

¿Hay que esperar hasta los 12 años para realizar un tratamiento de ortodoncia?

En general se debe esperar hasta alrededor de los 12 años, que es la edad en que ya no quedan dientes de leche, para colocar frenillos. No obstante, hay casos donde conviene comenzar antes a través de ortodoncia interceptiva e incluso con brackets en etapa de dentición mixta para corregir ciertas maloclusiones y mejorar el pronóstico de los tratamientos a futuro.

ortodoncia 2 web jpg
?

¿Se pueden poner brackets en una sóla arcada para un tratamiento ortodóncico?

Se puede, aunque depende de cada caso, ya que si son correcciones puntuales que no modifiquen la oclusión no hay problema. Sin embargo, en general conviene hacerlo de manera coordinada en ambas arcadas para no perder la estabilidad oclusal.

ortodoncia 3 web jpg
?

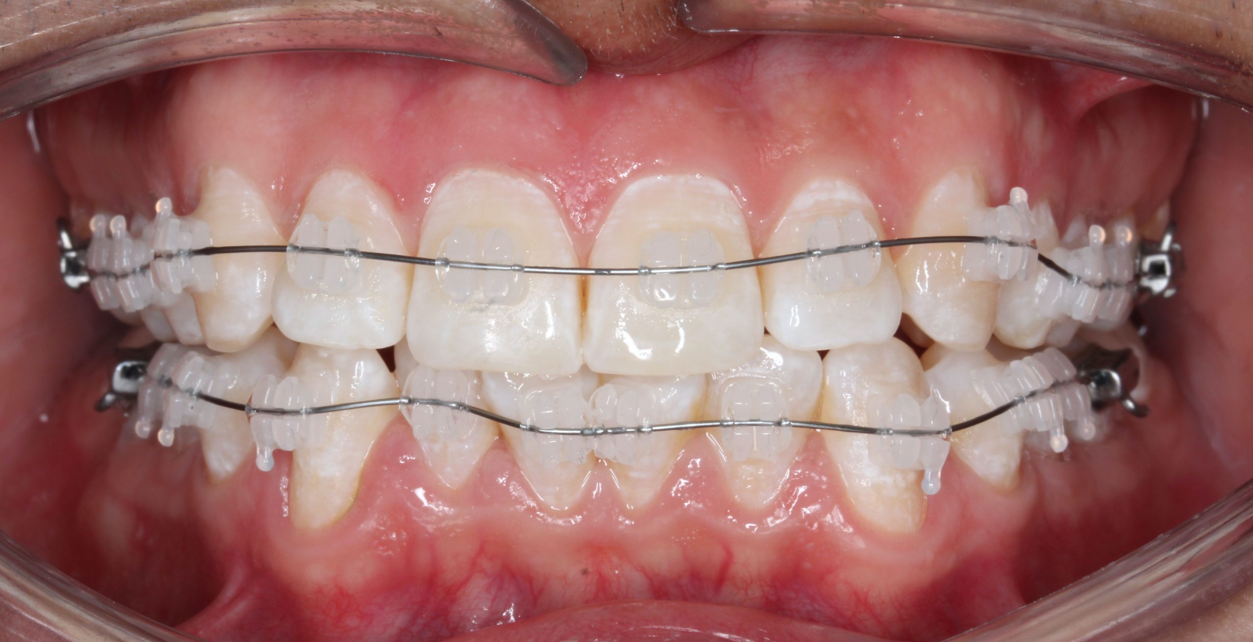
¿Que beneficios pueden obtener en base a brackets cerámicos?

Los brackets cerámicos representan una solución altamente estética para quienes desean corregir su sonrisa sin comprometer resultados. Según revisiones científicas actuales, estos brackets han mejorado significativamente su resistencia y se mantienen tan efectivos como los metálicos para el movimiento dental 

Además, gracias a recientes avances tecnológicos, ahora existen versiones con recubrimientos nanométricos o fabricadas mediante impresión 3D personalizada que ofrecen mayor ajuste, comodidad y propiedades antibacterianas, reduciendo la acumulación de placa y el riesgo de desmineralización

Si valoras una sonrisa discreta, efectiva y respaldada por innovación científica, los brackets cerámicos modernos son una opción ideal.

Consejos para mantener una adecuada higiene oral con aparatos de ortodoncia

Mantener una buena higiene bucal cuando se porta aparatos de ortodoncia es crucial para prevenir problemas de acumulación de placa, formación de caries dental y gingivitis. Aquí tienes algunos consejos para mantener una higiene bucal adecuada con ortodoncia:

ortodoncia 4 web scaled

Cepillado regular: cepilla tus dientes después de cada comida y antes de acostarte. Utiliza idealmente un cepillo de dientes ortodóncico de filamentos suaves. Además, puedes complementar tu higiene con cepillos interdentales, cepillos de unipenacho y enjuagues bucales.

Técnica de cepillado adecuada: sujeta el cepillo de forma inclinada (en un ángulo de 45 grados) de manera que puedas introducir los filamentos bajo los alambres. Limpia todas las piezas dentales de manera minuciosa y los brackets por todos sus ángulos. Es fundamental que el cepillado sea riguroso y dure entre 3-4 minutos.

 

ortodoncia 5 jpeg

Enjuague bucal: utilice un enjuague bucal con flúor después del cepillado para fortalecer el esmalte dental y reducir la formación de placa.

ortodoncia 6 web jpg

Hilo dental: usa el hilo dental entre los dientes y alrededor de los brackets y alambres con cuidado. Utilice un enhebrador de hilo dental si es necesario para facilitar su uso.

ortodoncia 7 jpeg

Cepillos interdentales: utilice cepillos interdentales para limpiar entre los alambres y los dientes. Estos pueden ayudar a eliminar la placa y los restos de comida de lugares de difícil acceso.

ortodoncia 8 jpeg

Alimentación consciente: evita alimentos pegajosos y duros que puedan dañar sus brackets o alambres. En casos de alimentos más duros procura que sean en trozos pequeños. También trata de reducir la cantidad de alimentos azucarados y ácidos en tu dieta para prevenir lesiones de caries.

ortodoncia 9

Controles regulares: no faltes a tus citas de control con tu ortodoncista. Estas citas son importantes para realizar los ajustes necesarios y avanzar de acuerdo a la planificación de tu tratamiento.

ortodoncia 10 web jpg